Magna Concursos
3685602 Ano: 2025
Disciplina: Medicina
Banca: FUVEST
Orgão: USP
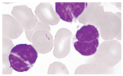
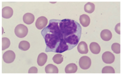
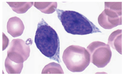
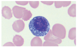
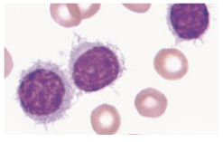
O mieloma múltiplo é uma neoplasia hematológica de células plasmáticas malignas, caracterizada pela proliferação descontrolada de plasmócitos clonais na medula óssea. Esses plasmócitos anormais produzem grandes quantidades de proteínas monoclonais (imunoglobulinas), levando a complicações como lesões ósseas líticas, hipercalcemia, insuficiência renal e anemia. Uma das características morfológicas observadas em mieloma múltiplo é a presença de células de Mott no esfregaço sanguíneo periférico. Assinale a alternativa que apresenta um linfócito com morfologia característica da célula de Mott.
 

Provas

Questão presente nas seguintes provas

Especialista em Laboratório - Hematologia

60 Questões