Magna Concursos
Questões
Planos
Entrar
Entrar
Criar Conta
Respondida
3986147
Ano:
2025
Disciplina:
Medicina
Banca:
VUNESP
Orgão:
SES-SP
Provas:
Residência em Medicina - Pré-requisito: Hematologia e Hemoterapia
Provas
×
Hematologia
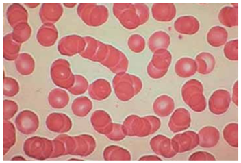
Observe a imagem a seguir:
(Arquivo pessoal; imagem usada com autorização)
Em relação à alteração apresentada nessa imagem, é correto afirmar:
A
é específica do mieloma múltiplo.
B
é habitualmente vista na anemia megaloblástica.
C
as proteínas de fase aguda, particularmente o fibrinogênio, interagem com o ácido siálico na superfície das hemácias para facilitar sua formação.
D
trata-se de aglutinação de hemácias por incompatibilidade sanguínea.
E
não é observada quando a hiperproteinemia é por uma IgM.
Resolver
Comentários
0
×
Cadernos
×
Flashcards
×
Estatísticas
×
Reportar um erro
×
Provas
Questão presente nas seguintes provas
Residência em Medicina - Pré-requisito: Hematologia e Hemoterapia
50 Questões
Resolver Prova
Publicar
Responder
Qual o problema da questão?
Selecione uma opção
Questão Desatualizada
Questão Repetida
Gabarito Errado
Outros Motivos
Mensagem
Enviar
Acessar
Criar Conta
Acesse sua Conta
Google
Facebook
Esqueci minha senha
Acessar
Ainda não tem conta?
Crie uma
!
Crie uma Conta
Criar Conta
Olá, para continuar, precisamos criar uma conta!
É
rápido
e
grátis
.
Google
Facebook
Concordo com os
Termos de Uso
Criar
Já tem uma conta?
Acesse aqui