Magna Concursos
3727977 Ano: 2025
Disciplina: Medicina
Banca: FUNDATEC
Orgão: GHC
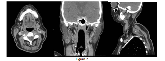
Paciente com diagnóstico de CEC de língua metastático para linfonodo cervical realizou TC de face e pescoço, mostrada na Figura 2 abaixo:


Enunciado 4483720-1


Com base na Figura 2, assinale a alternativa que indica o nível cervical em que se encontra a metástase em questão.
 

Provas

Questão presente nas seguintes provas

Médico - Cirurgia de Cabeça e Pescoço

40 Questões