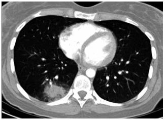
Mulher de 31 anos, recentemente diagnosticada com
leucemia mieloide aguda, é internada com neutropenia
febril doze dias após o primeiro ciclo de quimioterapia de
consolidação com citarabina em altas doses. Ela é tratada adequadamente com cefepima intravenosa. Sete
dias após, as hemoculturas são negativas e a contagem
de leucócitos está começando a se recuperar. Ela agora
apresenta febre de 38 °C, tosse e desconforto torácico
pleurítico. Os níveis séricos de galactomanana e beta-glucana estão elevados. A tomografia de tórax realizada
agora é mostrada a seguir:
(Arquivo pessoal; imagem usada com autorização)
Com maior probabilidade, o diagnóstico é de
(Arquivo pessoal; imagem usada com autorização)
Com maior probabilidade, o diagnóstico é de
Provas
Questão presente nas seguintes provas