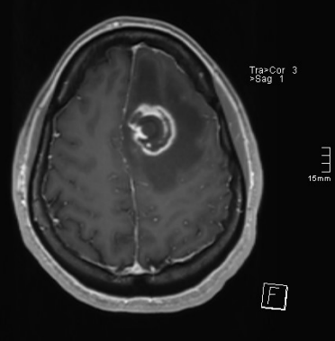
Helena, mulher cis, 56 anos, é levada ao pronto atendimento devido a episódio de fraqueza súbita em membro inferior direito, que dificultou a marcha, há cerca de 6 horas, evoluindo com crises convulsivas. O acompanhante informa que a paciente é acompanhada em UBS por hipertensão arterial, dislipidemia e diabetes mellitus, com antecedente de AVE isquêmico há 8 anos, do qual se recuperou sem déficits. Ao exame neurológico, apresenta Glasgow 14, déficit neurológico focal restrito a membro inferior direito, preservando força nos demais membros, sem alteração de fala, com reflexos pupilares normais, sem desvio de rima labial e ausência de sinais de irritação meníngea. Sinais vitais estáveis, exceto temperatura axilar de 37,7°C. Teste rápido para HIV na admissão foi reagente. Realizada RM de crânio abaixo.

O diagnóstico mais provável para este caso é