A questão dize respeito ao caso clínico descrito a seguir.
Paciente de 80 anos procura o consultório médico com queixa de esquecimentos e confusão mental há 3 anos. Seus déficits vinham piorando lenta e paulatinamente. Relata uma piora importante, de forma súbita, há cerca de 2 anos, quando apresentou um desvio de rima labial para direita e diminuição da força muscular do membro superior esquerdo. Concomitantemente, paciente deixou de cozinhar por deixar a comida queimar no fogo. Deixou de realizar compras na feira porque esquecia do que precisava comprar e se atrapalhava com os pagamentos. Tornou-se apática, desinteressada, triste e vem se isolando socialmente.
Paciente mantém-se independente para as atividades básicas, mas tem comprometimento para as atividades instrumentais.
Vem apresentando diminuição da velocidade de marcha, autorrelato de cansaço e força de preensão palmar de 12 Kgf.
Medicação de uso continuado: ácido acetilsalicílico 100 mg após o almoço, atorvastatina 40 mg uma vez ao dia, memantina 10 mg 1x/d, donepezila 10 mg 1x/d, losartana 50 mg 12/12h, atenolol 25 mg 12/12h, insulina NPH 6 unidades por via subcutânea pela manhã e à noite, metformina 850 mg 3x/d, gliclazida 60 mg 1x/d e evogliptina 5 mg pela manhã.
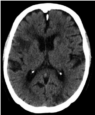
A paciente realizou uma tomografia computadorizada de crânio.

(Arquivo pessoal; imagem usada com autorização)
Em relação ao tratamento anti-hipertensivo, assinale a alternativa correta.