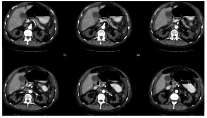
Homem de 72 anos em tratamento dialítico há 8 anos por doença renal crônica de etiologia indeterminada. Refere ter
apresentado um episódio de hematúria macroscópica há 2 dias, associado a dor lombar. Usou analgésico, com melhora
parcial. Tomografia de abdome com imagem a seguir.

(Arquivo pessoal; imagem usada com autorização)
O diagnóstico mais provável nesse caso é

(Arquivo pessoal; imagem usada com autorização)
O diagnóstico mais provável nesse caso é