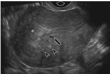
Paciente, 36 anos, relata ocorrência de sangramento aumentado nos últimos dois anos, desde a LT. Tem apresentado coágulos, cólicas e duração de 10 dias do sangramento. Nuligesta. É hipertensa, obesa e tem DM tipo I. Consultou um médico que indicou histerectomia, mas deseja uma segunda opinião, pois não deseja realizar cirurgia. Traz hemograma, mamografia e citopatológico cervical com ASCUS, e ultrassom com a imagem abaixo.

Qual a conduta mais adequada para este caso?