Paciente com 67 anos, tabagista, procura atendimento
em unidade de pronto atendimento. Relata dor precordial e nas costas, há quatro meses, inicialmente de leve
intensidade, mas que está piorando, além de fraqueza
nos membros inferiores e desconforto para engolir. Há
três dias, percebeu inchaço no pescoço, dos dois lados.
Exame físico: hemodinamicamente estável, pletora facial
moderada, edema supraclavicular bilateral, circulação
colateral na metade superior do tórax.
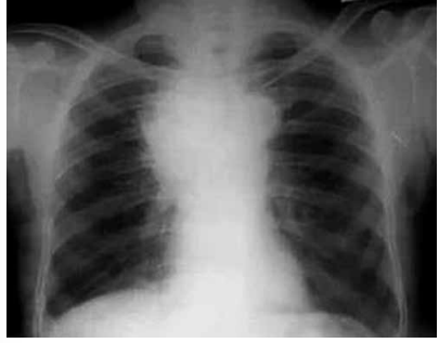
Radiografia de tórax a seguir:
(Arquivo pessoal; imagem usada com autorização)
O quadro clínico apresentado permite a elaboração de hipótese diagnóstica e de possível conduta, que devem ser, respectivamente:
Radiografia de tórax a seguir:
(Arquivo pessoal; imagem usada com autorização)
O quadro clínico apresentado permite a elaboração de hipótese diagnóstica e de possível conduta, que devem ser, respectivamente:
Provas
Questão presente nas seguintes provas
Médico - Cirurgia Torácica/Cirurgia Oncológica
40 Questões