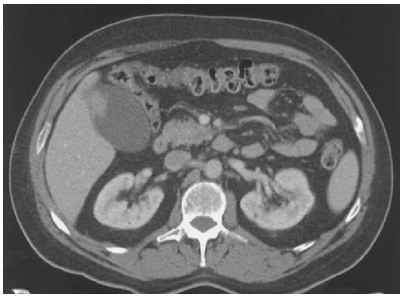
Mulher 57 anos. Assintomática do ponto digestivo. Realizou TC do abdome sem contraste para avaliação de cólica
nefrética e suspeita de ureterolitíiase.
Após avaliação da imagem abaixo, você indicaria qual procedimento cirúrgico?

Após avaliação da imagem abaixo, você indicaria qual procedimento cirúrgico?

Provas
Questão presente nas seguintes provas