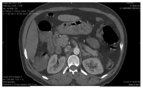
Mulher de 78 anos, hipertensa e fibrilação atrial crônica, sem anticoagulação, apresenta dor abdominal difusa de início súbito há 4 horas, desproporcional ao exame físico. FC: 118 bpm, PA: 132/74 mmHg, afebril. Abdome flácido, sem sinais de peritonite. Leucograma: 18.500/mm³, D-dímero: elevado, Lactato: 4,5 mmol/L. TC de abdome com contraste demonstrada na imagem a seguir:

(Arquivo pessoal; imagem usada com autorização)
Qual é a melhor conduta inicial?