- Anatomia e Fisiologia HumanaSistema Neurológico
- Patologia, Diagnóstico e Tratamento Radioterápico
- Protocolos de Exames de Medicina NuclearTécnicas Radiográficas em Tomografia Computadorizada
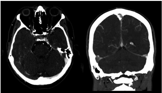
Paciente do sexo feminino, com 27 anos de idade, chega ao pronto-socorro com queixa de cefaleia refratária a analgésicos, com início há 2 dias. Foi submetida a tomografia computadorizada do crânio com contraste, conforme imagens a seguir:

(Arquivo pessoal; imagem usada com autorização)
Considerando as imagens apresentadas, assinale a alternativa correta.
Provas
Questão presente nas seguintes provas