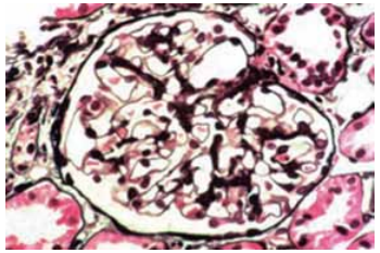
Homem de 18 anos tem diagnóstico clínico laboratorial de síndrome nefrótica há 6 meses, com complemento sérico dentro dos valores da normalidade e excelente resposta a corticoide. Foi realizada biopsia renal, que mostrou 22 glomérulos, todos com a imagem semelhante ao apresentado na figura a seguir. A imunofluorescência foi negativa.

(Coloração de prata de Jones. Disponível em: https://www.ajkd.org)
Qual é o diagnóstico da glomerulopatia?