Magna Concursos
3654182 Ano: 2025
Disciplina: Medicina
Banca: VUNESP
Orgão: UNIFESP
Provas:

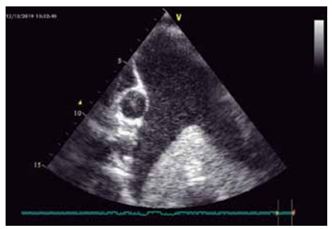
Observe a imagem.

Enunciado 4377053-1

(Arquivo pessoal; imagem utilizada com autorização)

Ela sugere:

 

Provas

Questão presente nas seguintes provas

Médico - Ecocardiografia

40 Questões