RN nasceu de parto vaginal, com APGAR 5 e 6, apresentando desconforto respiratório de imediato, caracterizado
por gemência, tiragem subcostal e taquipneia. A idade gestacional pela DUM foi de 31 semanas. RN foi levado à UTI
neonatal, com piora importante do desconforto respiratório, necessitando de intubação orotraqueal. Neonatologista
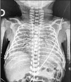
solicitou RX de tórax (imagem abaixo). Genitora relatou perda de líquido vaginal um dia antes do parto, porém,
como foi em pequena quantidade e não teve contrações, decidiu ficar em casa. Somente foi à maternidade, 20 horas
após a ruptura das membranas, em função da intensidade forte e frequente das contrações. RN nasceu cerca de
duas horas após admissão da gestante na maternidade. Dados pré-natais: Gesta IV/ Aborto II. O cartão da gestante
mostrou apenas quatro consultas, com exames realizados somente no primeiro trimestre (todos normais).
Sobre este paciente, analise as assertivas abaixo:
I. Uma das hipóteses diagnósticas para esse RN é de pneumonia pelo Streptococcus do grupo B, sendo indicada antibioticoterapia com penicilina cristalina e gentamicina.
II. A prematuridade e o padrão radiológico tornam a Síndrome do Desconforto Respiratório um dos principais diagnósticos desse paciente.
III. O RN deverá receber uma dose de surfactante exógeno o mais rapidamente possível; estudos recentes mostram a ineficácia de doses subsequentes de surfactante, além do elevado risco de pneumotórax.
IV. A hipóxia perinatal, prematuridade e ausência de corticoide pré-natal são fatores de risco para uma produção insuficiente de surfactante pelos pneumócitos tipo I ainda na vida intrauterina.
Podemos afirmar que
Sobre este paciente, analise as assertivas abaixo:
I. Uma das hipóteses diagnósticas para esse RN é de pneumonia pelo Streptococcus do grupo B, sendo indicada antibioticoterapia com penicilina cristalina e gentamicina.
II. A prematuridade e o padrão radiológico tornam a Síndrome do Desconforto Respiratório um dos principais diagnósticos desse paciente.
III. O RN deverá receber uma dose de surfactante exógeno o mais rapidamente possível; estudos recentes mostram a ineficácia de doses subsequentes de surfactante, além do elevado risco de pneumotórax.
IV. A hipóxia perinatal, prematuridade e ausência de corticoide pré-natal são fatores de risco para uma produção insuficiente de surfactante pelos pneumócitos tipo I ainda na vida intrauterina.
Podemos afirmar que