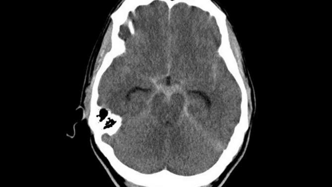
Assinale a alternativa correta a respeito da condição mostrada na imagem a seguir.
A maioria dos casos é causada por ruptura de aneurisma.
É muito comum.
Possui bom prognóstico.
Tem alta taxa de recorrência.
Necessita de tratamento cirúrgico.
Olá, para continuar, precisamos criar uma conta! É rápido e grátis.