Magna Concursos
3654178 Ano: 2025
Disciplina: Medicina
Banca: VUNESP
Orgão: UNIFESP
Provas:

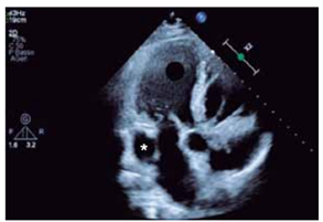
A estrutura indicada pelo asterisco na figura a seguir pode estar associada a

Enunciado 4377049-1

(Arquivo pessoal; imagem utilizada com autorização)

 

Provas

Questão presente nas seguintes provas

Médico - Ecocardiografia

40 Questões