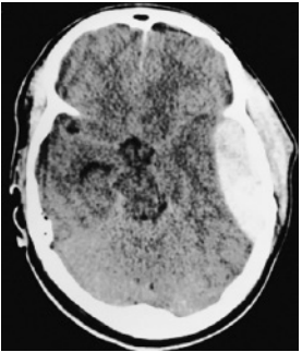
Paciente do sexo masculino, 23 anos, foi vítima de acidente automobilístico no qual o veículo em que estava colidiu com caminhão. Usava cinto de segurança e foi retirado consciente do carro pela equipe de resgate. Apresentava amnésia anterógrada. Após atendimento pré-hospitalar, o paciente foi levado ao pronto-socorro, sem déficits motores ou sensitivos. No hospital, o médico pede uma tomografia computadorizada de crânio para avaliação. Alguns minutos depois, a equipe de enfermagem solicita avaliação de emergência para o paciente, com necessidade de intubação orotraqueal por rebaixamento do nível de consciência e anisocoria com pupila esquerda dilatada. Tomografia computadorizada de crânio sem contraste

Ao considerar a situação clínica do paciente e a imagem tomográfica apresentada, o médico diagnosticou