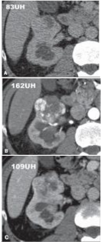
A TC a seguir é um exemplo de carcinoma de células renais.

Em relação à classificação histológica do carcinoma de células renais (CCR) e sua correlação com os métodos de imagem, assinale a afirmativa correta.
Provas
Questão presente nas seguintes provas