Magna Concursos
3620604 Ano: 2025
Disciplina: Radiologia
Banca: SARAH
Orgão: Rede SARAH
Provas:

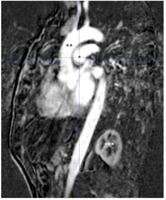
Observe a imagem a seguir.

Enunciado 4245410-1

Sobre a imagem acima, é correto afirmar que

 

Provas

Questão presente nas seguintes provas

Biomédico

60 Questões