Uma paciente procura auxílio médico com uma queixa de tosse seca há 1 semana. Tem antecedente de hipertensão arterial. Entretanto, há muito tempo não procura controle médico. Ela costuma medir sua pressão arterial por meio de um esfigmomanômetro de pulso. Quando estava normal, não fez uso de hidroclorotiazida 25 mg. Regularmente toma losartana 50 mg à noite e anlodipino 5 mg pela manhã.
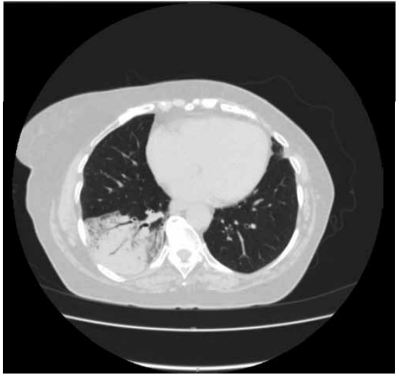
Ela realizou uma tomografia computadorizada de tórax:

(Arquivo pessoal; imagem usada com autorização)
Assinale a alternativa correta quanto à prescrição a ser realizada.