Magna Concursos
3926902 Ano: 2025
Disciplina: Radiologia
Banca: CESPE / CEBRASPE
Orgão: Pref. Boa Vista-RR
Provas:
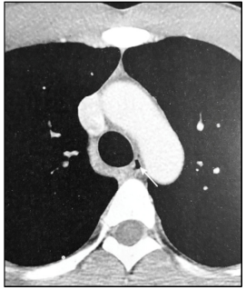
Enunciado 4881841-1



William Herring. Learning radiology: recognizing the basics, 2nd ed., Elsevier, 2012, pg. 101 (com adaptações).



Considerando a imagem digital precedente, formada a partir da aquisição de um exame de tomografia computadorizada (TC), é correto afirmar que essa imagem corresponde a um
 

Provas

Questão presente nas seguintes provas

Técnico de Radiologia

60 Questões