Magna Concursos
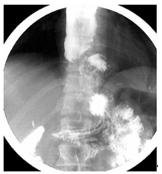
Paciente de 45 anos, submetido à miotomia de Heller com fundoplicatura parcial (dor) por acalasia há oito meses, evoluiu com melhora inicial da disfagia, mas retornou com piora progressiva dos sintomas nos últimos dois meses. A endoscopia digestiva alta mostrou esôfago dilatado com acúmulo de conteúdo alimentar e resistência à passagem do aparelho na transição esofagogástrica. A manometria esofágica de alta resolução não pôde ser realizada, pois não foi possível o posicionamento adequado do cateter manométrico na junção esofagogástrica. Realizou o esofagograma apresentado a seguir:

Enunciado 4550610-1

(Arquivo pessoal; imagem usada com autorização)

Considerando a história e os achados do exame, qual é a conduta mais adequada?
 

Provas

Questão presente nas seguintes provas