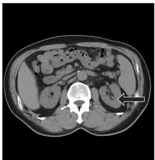
Observe a imagem a seguir: Qual alternativa representa
o corte visualizado na imagem de tomografia a seguir e o
órgão apontado pela seta?
(Disponível em: https://upload.wikimedia.org/wikipedia/commons/ 7/7f/CT_Scan_General_Illustration_Upper_Abdomen.jpg. Adaptado)
Qual alternativa representa o corte visualizado na imagem de tomografia apresentada e o órgão apontado pela seta?
(Disponível em: https://upload.wikimedia.org/wikipedia/commons/ 7/7f/CT_Scan_General_Illustration_Upper_Abdomen.jpg. Adaptado)
Qual alternativa representa o corte visualizado na imagem de tomografia apresentada e o órgão apontado pela seta?
Provas
Questão presente nas seguintes provas