Magna Concursos
3654181 Ano: 2025
Disciplina: Medicina
Banca: VUNESP
Orgão: UNIFESP
Provas:

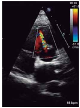
Criança, sexo masculino, 5 anos, realiza ecocardiograma para avaliação de sopro cardíaco.

Enunciado 4377052-1

(Arquivo pessoal; imagem utilizada com autorização)

A imagem indica:

 

Provas

Questão presente nas seguintes provas

Médico - Ecocardiografia

40 Questões