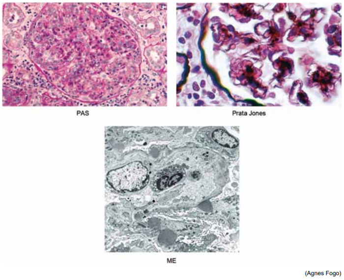
Observe as imagens a seguir, referentes a uma biópsia renal:

Assinale a alternativa que apresenta corretamente o diagnóstico provável.
Observe as imagens a seguir, referentes a uma biópsia renal:

Assinale a alternativa que apresenta corretamente o diagnóstico provável.