Magna Concursos

Analise as imagens para responder à questão



Enunciado 4906545-1

Em: https://jbp.org.br/details/147/pt-BR/chest-x-ray-and-computed-tomography-in-the-evaluation-of-pulmonary-emphysema;

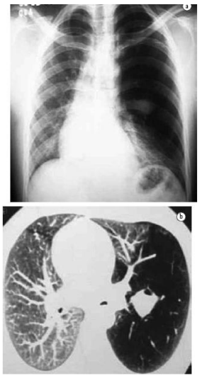
No Rx e no corte axial de TC, observa-se opacidade arredondada/tubular perihilar com parênquima adjacente hiperluzente. Identifique a combinação anatômico-radiológica compatível com o diagnóstico mostrado:
 

Provas

Questão presente nas seguintes provas