É um erro inato do metabolismo do grupo das doenças
lisossômicas de depósito. De herança autossômica recessiva, resultante da deficiência da beta-glicosidase ácida
ou beta-glicocerebrosidase, que leva ao acúmulo de glicolipídios nos macrófagos principalmente em baço, fígado,
medula óssea e pulmão. As manifestações clínicas ou
fenotípicas vão depender do grau de deficiência da
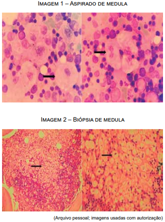
enzima, existindo três tipos. A do tipo I, forma não neuropática, afeta crianças e adultos com hepatoesplenomegalia, anemia, trombocitopenia, leucopenia e lesões ósseas.
Tal descrição e imagens correspondem ao observado na
Tal descrição e imagens correspondem ao observado na
Provas
Questão presente nas seguintes provas