A incidência global de amiloidose é estimada em cerca
de cinco a nove casos por milhão de pacientes/ano.
Os estímulos inflamatórios na amiloidose AA (amiloide
secundária ou reativa) estão associados à artrite inflamatória crônica (artrite reumatoide, espondilite anquilosante), doença inflamatória intestinal, infecções crônicas, síndromes de febre periódica hereditárias familiares
como a febre familiar do Mediterrâneo (FFM), neoplasias
e causas idiopáticas. O comprometimento renal é uma
manifestação comum na maior parte dos tipos de amiloidose sistêmica. Em biópsias, são feitas microscopia de
luz e imunofluorescência indireta (IF).
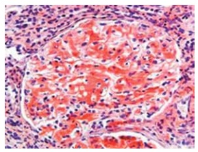
A figura a seguir demonstra a Micrografia de luz (LM) de um rim de paciente masculino, 58 anos mostrando depósitos de amiloide (laranja) nos glomérulos.
(Laboratório de Anatomia Patológica do Centro Universitário FMABC. Imagem usada com autorização)
Qual é o corante utilizado para detectar depósitos de amiloide em tecidos e as proteínas detectadas na IFI?
A figura a seguir demonstra a Micrografia de luz (LM) de um rim de paciente masculino, 58 anos mostrando depósitos de amiloide (laranja) nos glomérulos.
(Laboratório de Anatomia Patológica do Centro Universitário FMABC. Imagem usada com autorização)
Qual é o corante utilizado para detectar depósitos de amiloide em tecidos e as proteínas detectadas na IFI?
Provas
Questão presente nas seguintes provas
Médico - Patologia Clínica/Medicina Laboratorial
50 Questões