Magna Concursos
3660014 Ano: 2025
Disciplina: Medicina
Banca: VUNESP
Orgão: FAMEMA
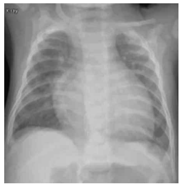
Uma lactente de 5 meses, do sexo feminino, foi internada na UTI com uma hipótese diagnóstica de choque séptico. Apresenta síndrome de Down e defeito do septo atrioventricular com moderada repercussão. Está em uso de carvedilol, captopril e furosemida. Aguarda agendamento cirúrgico para correção total da cardiopatia. Vem apresentando febre, há três dias, de até 38 ºC. Realizou-se raio-X do tórax (figura a seguir), administrou-se a primeira dose de ceftriaxona, e a paciente foi encaminhada para a UTI.
Enunciado 4395191-1
(Arquivo pessoal; imagem usada com autorização)
Ao exame físico, encontra-se sonolenta, mas abre os olhos ao chamado. Frequência respiratória: 65; batimento de aleta nasal; retração intercostal e subdiafragmática; saturação de 91% com máscara não reinalante 15 L/minuto; FC: 175; tempo de enchimento capilar de 5 segundos; pressão arterial: 75 x 55. Ausculta cardíaca: bulhas rítmicas normofonéticas com sopro sistólico +++. Ausculta pulmonar: murmúrio vesicular presente bilateralmente com estertoração crepitante bilateral nas bases. Abdome: globoso, flácido, doloroso à palpação do hipocôndrio direito, com fígado palpável a 4 cm do rebordo costal direito.
Com relação à hipótese diagnóstica e à conduta adequada, é correto afirmar que se trata de choque
 

Provas

Questão presente nas seguintes provas

Médico - Medicina Intensiva Pediátrica

50 Questões