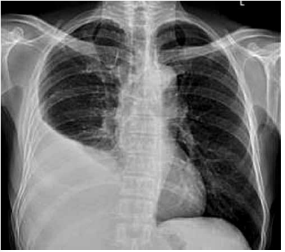
Paciente de 28 anos, procedente de zona de garimpo,
tabagista e etilista, apresenta queixa de tosse seca e dor
torácica à direita há trinta dias, com febre esporádica.
Apresenta episódios de tosse com secreção amarelada
e laivos de sangue há dez dias, sem melhora ou piora.
Emagreceu 6 kg no período de quarenta dias. Exame
físico: emagrecido, Tax: 37,4 ºC, submacicez e murmúrio
vesicular diminuído em base do hemitórax direito.
Radiografia de tórax a seguir:
(Arquivo pessoal; imagem usada com autorização)
O diagnóstico e a conduta corretos são, respectivamente:
Radiografia de tórax a seguir:
(Arquivo pessoal; imagem usada com autorização)
O diagnóstico e a conduta corretos são, respectivamente:
Provas
Questão presente nas seguintes provas
Médico - Cirurgia Torácica/Cirurgia Oncológica
40 Questões