Paciente de 8 anos com asma mal controlada e trazido para avaliação em pronto-atendimento por sintomas de tosse seca e desconforto respiratório há um dia. À admissão, encontra-se em regular estado geral, taquidispneico, com FR = 48 ipm, SatO2 = 86% em ar ambiente; presença de tiragens intercostal e de fúrcula e ausculta pulmonar com sibilos inspiratórios e expiratórios, com tempo expiratório prolongado. Não há prejuízo do nível de consciência. Realizadas três inalações com salbutamol e ipratrópio nas doses adequadas, além de corticoide sistêmico; mantido em máscara não reinalante.
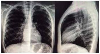
Após todas essas medidas, paciente segue com desconforto respiratório, FR = 44 ipm, SatO2 = 94% em máscara; ausculta pulmonar com o mesmo padrão inicial. Realizada radiografia de tórax a seguir.

(Arquivo pessoal; imagem usada com autorização)
Qual das alternativas a seguir contém a conduta mais adequada a ser realizada no momento?