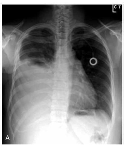
Um homem de 75 anos, com histórico de câncer de pulmão metastático, em tratamento quimioterápico, procura atendimento devido à dispneia progressiva e dor torácica leve há duas semanas. Ele não apresenta febre ou outros sinais infecciosos. No exame físico, observa-se murmúrio vesicular diminuído e macicez à percussão no hemitórax direito. Uma toracocentese diagnóstica revela líquido de aspecto sero-hemático com pH 7,2, glicose 45 mg/dL e citologia positiva para células neoplásicas. A radiografia de tórax está demonstrada a seguir.

(Townsend Jr., C. M.; Beauchamp, R.D.; B. Evers,
M. and Mattox, K.L. Sabiston. Tratado de cirurgia.
20a edição, ed. Elsevier, 2019)
Com base no relato e na radiografia apresentados, assinale a alternativa que indica a melhor abordagem terapêutica inicial para esse paciente.