Magna Concursos
3809187 Ano: 2024
Disciplina: Medicina
Banca: VUNESP
Orgão: FICSAE
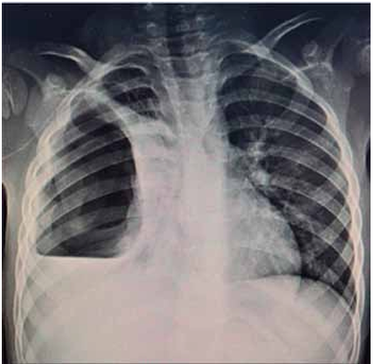
Paciente de 6 anos com quadro de febre alta há 1 semana (máximo de 40 ºC), tosse produtiva, dor torácica e desconforto respiratório progressivo. Ao exame físico, apresentava ausculta reduzida em todo hemitórax direito, com percussão hipertimpânica em terços médio e superior e maciça em terço inferior. Hemitórax esquerdo sem alterações de propedêutica pulmonar. Solicitada radiografia de tórax a seguir.

Enunciado 4584181-1
(Arquivo pessoal; imagem usada com autorização)

Com base nos dados apresentados, assinale a alternativa que descreve o diagnóstico mais provável para o caso.
 

Provas

Questão presente nas seguintes provas

Residência em Medicina - Pediatria

50 Questões