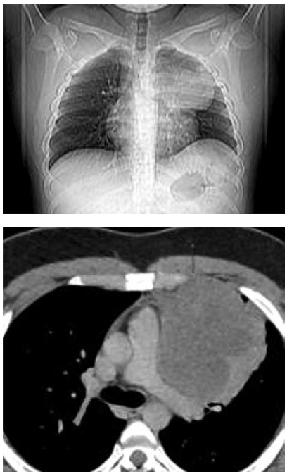
Paciente de 19 anos procura unidade básica de saúde
com queixa de dor em região anterior de hemitórax
esquerdo. Fez radiografia e tomografia, apresentadas a
seguir. Foi submetido a biópsia transtorácica, que revelou
neoplasia maligna com padrão morfológico de pequenas
células redondas e azuis (HE).
(Arquivo pessoal; imagem usada com autorização)
Perfil imuno-histoquímico:
• Positivo para SALL-4, Glypican e citoqueratinas Ae1/ Ae3.
• Negativo para CD 117; CD 30; p40 e PAX-8; CD 10; TdT e CD 99; CD 3; PAX-5 e CD45.
• Imunoexpressão para Ki-67 revela índice de proliferação de 40%.
De acordo com o caso clínico e o resultado anatomopatológico, é correto afirmar que se trata de tumor do tipo
(Arquivo pessoal; imagem usada com autorização)
Perfil imuno-histoquímico:
• Positivo para SALL-4, Glypican e citoqueratinas Ae1/ Ae3.
• Negativo para CD 117; CD 30; p40 e PAX-8; CD 10; TdT e CD 99; CD 3; PAX-5 e CD45.
• Imunoexpressão para Ki-67 revela índice de proliferação de 40%.
De acordo com o caso clínico e o resultado anatomopatológico, é correto afirmar que se trata de tumor do tipo
Provas
Questão presente nas seguintes provas
Médico - Cirurgia Torácica/Cirurgia Oncológica
40 Questões