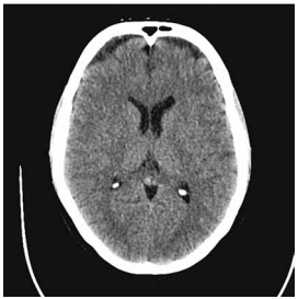
Paciente de 54 anos de idade, com história de febre,
cefaleia intensa, vômitos e rebaixamento do nível de
consciência há 24h. Glasgow 11; FC: 118 bpm; PA:
86 × 54 mmHg; Tax: 38,6 ºC; petéquias em tronco.
SpO2: 96% em O2. Realizou-se a tomografia de crânio
a seguir:
(Arquivo pessoal; imagem usada com autorização)
Qual é a prioridade terapêutica inicial?
(Arquivo pessoal; imagem usada com autorização)
Qual é a prioridade terapêutica inicial?
Provas
Questão presente nas seguintes provas