Magna Concursos
3772269 Ano: 2024
Disciplina: Odontologia
Banca: IBAM
Orgão: Pref. Guarulhos-SP

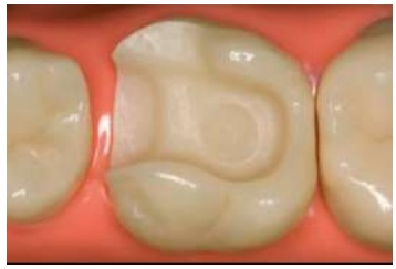
Analise a figura a seguir:

Enunciado 4566597-1

O preparo apresentado na figura possui características destinadas a qual solução protética?

 

Provas

Questão presente nas seguintes provas

Técnico de Saúde - Prótese Dentária

40 Questões