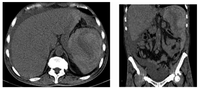
Homem de 39 anos é admitido no pronto-socorro com quadro de dor abdominal intensa no flanco esquerdo irradiando para o ombro homolateral (sinal de Kehr), associada a lipotimia e sudorese profusa, iniciada subitamente há cerca de 40 minutos. Nega trauma recente, esforço físico ou histórico de coagulopatia. Ao exame, encontra-se sudorético, com palidez cutaneomucosa importante, frequência cardíaca de 126 bpm, pressão arterial de 85/54 mmHg e dor à palpação profunda do hipocôndrio esquerdo, com sinais de irritação peritoneal. Os exames laboratoriais revelam:
• Hemoglobina: 7,4 g/dL (VN: 13,5–17,5)
• Hematócrito: 21% (VN: 41–53)
• Leucócitos: 14.500/mm³ com predomínio de neutrófilos
• Plaquetas: 250.000/mm³
• TAP e PTT normais
• Sorologias para mononucleose, citomegalovírus e hepatites negativas
A tomografia computadorizada de abdome está demonstrada a seguir:

(Coimbra, B. M.; Cardoso. T. T. Brad Cases - Brazilian Radiological Cases 2022, 1(4): 474-480)
Com base no quadro clínico, exames laboratoriais e de imagem, o diagnóstico e conduta para com o paciente são, respectivamente: