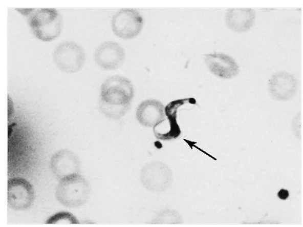
Amastigota e tripomastigota são as duas formas rotineiramente encontradas em amostras humanas. Amastigotas são encontradas no interior de macrófagos, principalmente os teciduais, localizados em músculos e no sistema nervoso central (SNC), onde se multiplicam. Uma forma morfológica encontrada em determinada fase do ciclo de vida do protozoário causador da doença de Chagas está ilustrada na figura abaixo.

Fonte: Elizabeth Zeibig. Parasitologia Clínica.
Esta forma se trata de: