Magna Concursos
3620587 Ano: 2025
Disciplina: Radiologia
Banca: SARAH
Orgão: Rede SARAH
Provas:

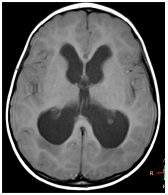
Observe o exame a seguir.

Enunciado 4245393-1

Esse exame mostra

 

Provas

Questão presente nas seguintes provas

Biomédico

60 Questões