Mulher de 72 anos é atendida em consulta de retorno. O
histórico é positivo para tabagismo de 25 anos-maço e
DPOC (grau 3; grupo B). Recentemente, ela teve pneumonia com infiltrado persistente no lobo inferior direito
observado na radiografia de tórax. A paciente foi tratada
com antibiótico. Seu peso permaneceu estável, e ela não
apresentou febre ou sudorese noturna. Após seis semanas, uma radiografia de tórax de acompanhamento não
apresentou alterações. Uma tomografia é então realizada
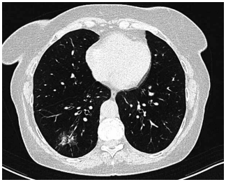
e mostrada a seguir (a parte sólida do nódulo é de 7 mm):
(Arquivo pessoal; imagem usada com autorização)
Quanto a essa paciente, o próximo passo mais apropriado é
(Arquivo pessoal; imagem usada com autorização)
Quanto a essa paciente, o próximo passo mais apropriado é
Provas
Questão presente nas seguintes provas