3799661
Ano: 2024
Disciplina: Odontologia
Banca: Avança SP
Orgão: Pref. São Lourenço Serra-SP
Disciplina: Odontologia
Banca: Avança SP
Orgão: Pref. São Lourenço Serra-SP
Provas:
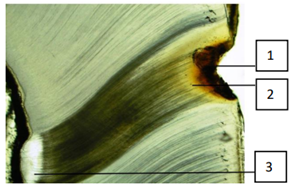
Analise a figura abaixo e marque a alternativa
que representa corretamente os números que
sinalizam os apontamentos na figura abaixo.

