Mulher de 52 anos apresenta quadro de quatro semanas
de dispneia progressiva, dor torácica do lado esquerdo
e tosse seca. O histórico é relevante para histerectomia
para miomas uterinos há três anos. A oximetria de pulso
é de 93% em ar ambiente. Exames séricos: hemoglobina: 9,8 g/dL; d-dímero: 770 ng/mL. O ultrassom mostra
derrame pleural esquerdo, e a toracocentese revela:
líquido amarelado e levemente turvo; proteína: 6,1 g/dL;
lactato desidrogenase: 5.910 UI/L; pH: 7,44; adenosina deaminase: 12,1 UI/L; contagem de leucócitos:
157.109 células/mm3
(78% linfócitos); coloração de Gram
e cultura para bactérias e fungos permanecem negativos;
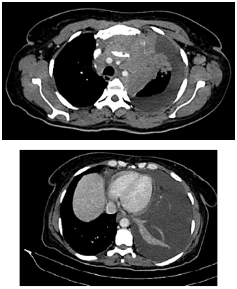
a citologia mostra linfócitos abundantes sem células malignas. Imagens da tomografia realizada são mostradas
a seguir:
(Arquivo pessoal; imagem usada com autorização)
Considerando a principal hipótese diagnóstica, o exame que mais provavelmente pode estabelecer o diagnóstico é
(Arquivo pessoal; imagem usada com autorização)
Considerando a principal hipótese diagnóstica, o exame que mais provavelmente pode estabelecer o diagnóstico é
Provas
Questão presente nas seguintes provas