Paciente do sexo masculino, 42 anos, apresenta fadiga
progressiva e dor no abdômen superior nos últimos 3 meses.
Relata perda de peso não intencional e episódios de febre
baixa. O paciente tem antecedentes de hipertensão
controlada e não apresenta histórico familiar relevante de
câncer. Ao exame físico, apresenta esplenomegalia moderada
(baço palpável a 3 cm abaixo do rebordo costal) e
linfadenopatia discreta (gânglios palpáveis, mas não
dolorosos).
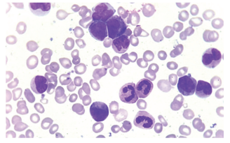
• Hemograma:
Leucócitos elevados (25.000/μL, com desvio à esquerda); Hemoglobina ligeiramente reduzida (11,5 g/dL); Plaquetas aumentadas (450.000/μL); Presença de mielócitos, metamielócitos e bastões.
O resultado do esfregaço de sangue periférico pode ser observado na imagem a seguir:
Com base na imagem do esfregaço de sangue periférico e nos achados clínicos e laboratoriais, assinale a alternativa que apresenta o diagnóstico mais provável.
• Hemograma:
Leucócitos elevados (25.000/μL, com desvio à esquerda); Hemoglobina ligeiramente reduzida (11,5 g/dL); Plaquetas aumentadas (450.000/μL); Presença de mielócitos, metamielócitos e bastões.
O resultado do esfregaço de sangue periférico pode ser observado na imagem a seguir:
Com base na imagem do esfregaço de sangue periférico e nos achados clínicos e laboratoriais, assinale a alternativa que apresenta o diagnóstico mais provável.