Magna Concursos
3831911 Ano: 2024
Disciplina: Biologia
Banca: IBADE
Orgão: Pref. Recife-PE

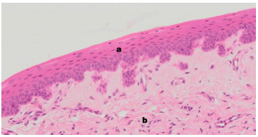
Observe a imagem abaixo e identifique corretamente o tecido indicado pela letra A.

Enunciado 4819192-1

 

Provas

Questão presente nas seguintes provas

Técnico de Laboratório - Citopatologia

50 Questões