Magna Concursos
3654904 Ano: 2025
Disciplina: Medicina
Banca: VUNESP
Orgão: UNIFESP
Provas:
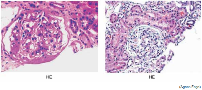
Observe a figura a seguir, na qual a microscopia óptica representa nefrite lúpica e sua classificação de acordo com ISN/RPS (International Society of Nephrology e Renal Pathology Society):
Enunciado 4377775-1
Com base nesse contexto, qual o tratamento preconizado na fase de indução?
 

Provas

Questão presente nas seguintes provas

Médico - Nefrologia

40 Questões