- Anatomia e Fisiologia HumanaSistema Neurológico
- Patologia, Diagnóstico e Tratamento Radioterápico
- Protocolos de Exames de Medicina NuclearTécnicas Radiográficas em Tomografia Computadorizada
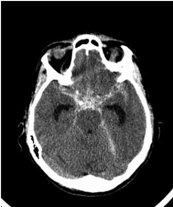
Paciente do sexo feminino, de 48 anos de idade, é trazida ao pronto-socorro com cefaleia e rebaixamento do nível de consciência. Foi submetida à tomografia computadorizada de crânio que evidenciou o achado a seguir:

(Arquivo pessoal; imagem usada com autorização)
Assinale a alternativa correta sobre esse caso.
Provas
Questão presente nas seguintes provas