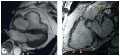
Paciente de 38 anos, natural de Itabuna, sul da Bahia, comparece ao cardiologista para investigação de quadro de insuficiência cardíaca com arritmias ventriculares frequentes, com morfologia tipo BRE. Realizou a ressonância cardíaca reproduzida abaixo.

Para esse caso, a hipótese diagnóstica mais provável é
Provas
Questão presente nas seguintes provas
Oficial Bombeiro Militar - Medicina/Cardiologia
80 Questões