Homem de 51 anos, sem comorbidades, foi diagnosticado com lesão vegetante em cólon ascendente de 3,0cm após
realização de colonoscopia de rastreio para câncer colorretal. Biópsia evidenciou adenocarcinoma moderadamente
diferenciado.
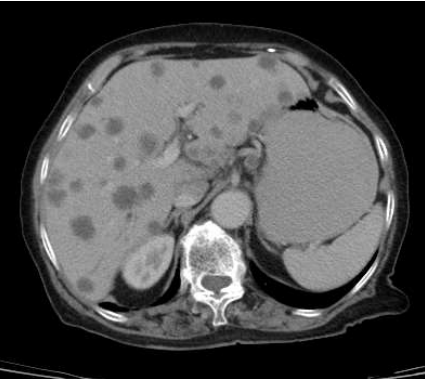
Tomografias de estadiamento evidenciam múltiplos nódulos hipocaptantes bilobares em fígado, sugestivos de
metástases, conforme imagem abaixo:
O paciente encontra-se assintomático, com performance ECOG 0 e sem icterícia. Qual é a conduta inicial mais apropriada?
O paciente encontra-se assintomático, com performance ECOG 0 e sem icterícia. Qual é a conduta inicial mais apropriada?
Provas
Questão presente nas seguintes provas