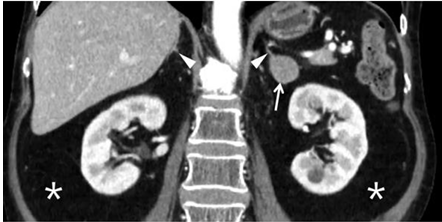
Observe atentamente a imagem e escolha a opção que completa os espaços pontilhados de forma correta. A imagem de nódulo em adrenal esquerda (apontado pela seta) identificado por_____________ sendo a função da glândula suprarrenal a ativação__________.

